농장에서 가장 중요한 개체는 모돈이다. 하지만 모돈은 기계가 아닌 살아있는 생명체이다 보니 유전적인 요인부터 환경에 따라 우리가 예상치 못한 사고(무발정, 공태, 유산, 사산 등)가 발생한다.
이러한 문제가 발생한 경우 대부분 발정유도를 위한 호르몬제를 주사하거나 그냥 다음 발정주기를 기대한다.
하지만 상당수 모돈의 경우에는 호르몬제에 대한 반응이 미약하거나 발정은 왔으나 배란이 되지 않아 교배 후 공태가 되는 경우가 많다. 또한, 농장에서는 산차가 높지 않다면 모돈을 사고모돈칸에 몰아둔 후 마냥 발정이 오기만을 기다리며 비생산일수만 계속 길어지는 경우도 많다.
최근에는 양돈수의사들을 중심으로 정밀초음파를 이용하여 모돈의 번식질환을 정확히 진단하고 이에 맞는 치료를 하고 있다.
1. 직장초음파 소개
2. 직장초음파 영상으로 보는 모돈의 번식기관의 정상 사진과 대비되는 질병 초음파 영상
모돈의 번식질환은 번식과 관련한 기관별로 주요 번식질환을 구분할 수 있다. 기관별로 자주 발생하는 번식기관 문제와 진단된 초음파 영상을 보도록 하자.
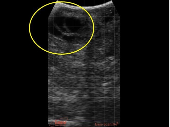
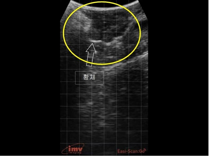
①난소
②자궁
자궁염
③방광
방광 내 슬러지는 자궁 및 질염을 유발하는 원인 중의 하나이며, 심할 경우 요관을 막아 콩팥부전을 일으켜 모돈의 급사을 일으키기도 한다.
정리하며
위의 질환들은 모돈에서 흔히 발생하는 질환이지만, 정밀 초음파 장비를 사용하지 않은 이상 진단을 할 수가 없다. 모돈 두당 진단시간은 대략 1~2분 내외이며, 개체별 진단과 동시에 처치를 실시할 수 있다. 또한, 데이터 누적을 통해 우리농장에 다발하는 질환을 알 수 있어 추가적인 솔루션을 생각해 볼 수 있다.
일반적으로 우리나라 농장의 모돈의 수태율은 80~90%정도 이다. 매주 10~20% 정도의 적지 않은 수의 문제 모돈들이 발생한다. 이들은 곧바로 농장의 손실로 이어진다.
이들에 대해 단순히 다음 발정기를 기대하며 정확한 진단이 이루어지지 않은 조건에서 무리한 유도발정은 오히려 모돈을 망가지게 한다. 그러다가 모돈의 이른 도태까지 진행되는 경우가 많다.
이러한 문제를 예방하기 위하여 적극적인 초음파 진단으로 모돈의 상태와 적정 처치 및 우리 농장에 다발하는 질환 정보를 확인한다면 이러한 비용 및 스트레스를 최소화할 수 있을 것으로 생각된다.

[초음파(1)] 양돈산업에서의 초음파 어디까지 발전했나?

































