▶ 1편: 모돈 면역이 먼저다(1): 분만 전 PCV2 백신 전략
▶ 2편: 모돈 면역이 먼저다(2): 써코바이러스, 간과되어 온 3가지 진실
▶ 3편: 모돈 면역이 먼저다(3): 써코 모체이행항체 간섭 현상의 진실
▶ 4편: 모돈 면역이 먼저다(4): 실증 데이터가 확인한 ‘모돈+자돈’ 통합 면역 관리의 효과
▶ 5편: 모돈 면역이 먼저다(5): PCV2 방어에서 ‘세포성 면역’이 중요한 이유
▶ 6편: 모돈 면역이 먼저다(6): 분만사에서 PCV2 조기감염에 대한 고찰
▶ 7편: 모돈 면역이 먼저다(7): PCV2 컨트롤의 해답은 '세포성 면역'
1. PCV2d, 면역의 틈을 파고드는 가장 진화된 생존자
바이러스의 진화는 멈추지 않는다. PCV2 역시 예외가 아니다. 바이러스는 증식 과정에서 계속 변이를 만들고, 그중 일부는 기존 면역과 관리 체계 속에서도 더 잘 살아남는다. 변이는 우연히 생기지만, 현장에서 우점화되는 바이러스는 그 환경에서 선택된 결과에 가깝다.
PCV2d의 확산도 이 관점에서 볼 필요가 있다. PCV2 연구의 권위자 한스 나우윈크(Hans Nauwynck) 교수는 PCV2d가 기존 PCV2a나 PCV2b보다 림프모세포(Lymphoblast: 면역 반응 중 활성화되어 증식하는 림프계 세포)에 더 잘 결합하고, 그 안에서 더 활발히 증식할 수 있다고 설명한다. 이는 PCV2d가 돼지의 면역 반응과 더 밀접하게 맞물릴 수 있음을 의미한다.
다만 “변이주가 등장했다”는 사실만으로 모든 농장에서 고병원성으로 나타난다고 해석하는 것은 약간의 무리가 있다. 실제 피해는 농장 내 감염압, 모돈군 면역 수준, 후보돈 순치, 자돈 접종 시점, 동시 감염 상황에 따라 달라진다. 중요한 것은 PCV2d가 기존 관리 방식의 빈틈을 드러낼 수 있다는 점이다.
따라서 PCV2d 시대의 관리는 자돈 단계의 대응만으로는 충분하지 않다. 후보돈에서 시작해 전 산차 모돈군의 면역 수준을 균일하게 만들고, 자돈 단계의 능동면역으로 이어지는 농장 단위의 면역 설계가 필요하다.
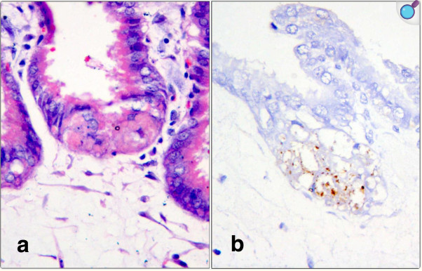
2. 정액 감염 가능성과 모돈 면역의 중요성
연구에 따르면 PCV2는 오염된 정액을 통해 모돈에게 전파될 수 있으며, 태반 감염과 태아 감염에도 관여할 수 있다. 따라서 PCV2 관리는 자돈 단계만이 아니라 교배 전 후보돈과 모돈의 면역 상태까지 함께 보아야 한다.
물론 웅돈과 정액 관리도 중요하다. 그러나 농장 전체의 관점에서 보면, 더 현실적인 방어선은 모돈군의 면역 수준을 안정적으로 유지하는 것이다. 태아를 보호하는 마지막 장벽은 모돈의 면역 상태와 태반의 방어 능력이기 때문이다.
PCV2b가 포함된 정액으로 인공수정한 실험에서는, PCV2 항체 양성 후보돈도 정액으로 부터 감염될 수 있었고, 특히 항체 수준이 낮은 후보돈에서 더 두드러지는 태반 감염이 확인되었다. 이는 교배 전 후보돈과 이유 모돈의 PCV2 면역 수준을 충분히 확보하는 것이 번식 단계의 감염 위험 관리에 중요하다는 점을 시사한다.
3. 바이러스 혈증 감소와 자돈 초기 면역의 의미
PCV2 통제의 핵심은 단순한 항체 수치 확인뿐만 아니라, 실제 현장에서 바이러스 증식을 억제해 농장 전체의 감염 압력을 낮추는 것이다. PCV2는 혈액을 통해 전신으로 퍼지는 만큼, 임신돈의 바이러스 혈증은 태반 및 태자 감염이라는 치명적인 결과로 이어질 수 있어 각별한 주의가 필요로 한다.
모돈 접종은 단지 모돈을 보호하는 데 그치지 않고, 자돈에게 면역을 물려주는 소중한 통로가 될 수 있다. 초유를 통해 전달된 수동면역이 자돈의 초기 방어막이 되어주기 때문에 모돈 접종은 자돈의 평생 성적을 좌우할 수동면역의 품질을 결정짓는 전략이라 할 수 있다.
PCV2 방어 효율은 단편적인 항체가 수치만으로 판단하기 어렵다. 혈중 바이러스 부하량(Viral load) 저감 능력, 초유를 통한 수동면역의 이행 효율, 그리고 자돈의 초기 감염압 감소를 종합적으로 평가해야 한다. 모돈군의 면역이 안정될수록 자돈은 더욱 균일한 면역 기반을 갖게 되며, 이는 PCV2 변이주가 빈번한 현 시점에서 농장 단위 통제의 성패를 결정짓는 주요 지표가 될 수 있다.
나아가 농장에서 가장 주목해야 할 실질적 지표는 접종 전후의 PSY, 총산, 분만율, 이유 후 육성률 등 번식 성적의 점진적인 개선일 것이다. 전략적인 모돈 PCV2 접종은 결국 농장 생산성의 핵심 지표들을 우상향 곡선으로 이끄는 결정적인 동력이 된다.
4. 홀바이러스(Whole-Virus) 백신과 세포성 면역(Cell-mediated immunity)
PCV2는 세포 내 증식 특성을 지닌 바이러스로, 혈중 항체의 중화 작용(체액성 면역)만큼이나 세포 내부의 바이러스를 제어하는 ‘세포성 면역’이 중요하다.
특히 림프계 친화성이 높은 PCV2d가 우세한 현 상황에서 단편적인 항체 수치만으로 방어력을 평가하는 것은 한계가 있다. 진정한 방어력은 체액성·세포성 면역의 조화, 초유를 통한 수동면역 이행, 농장 내 감염압 감소가 유기적으로 맞물린 결과이기 때문이다.
이러한 다각적 방어 기전을 위해 홀바이러스(Whole-virus) 백신인 써코백은 훌륭한 솔루션이 된다. 특정 항원만 제시하는 방식과 달리 바이러스 전체 정보를 전달하여 폭넓은 면역 프로파일을 형성하며, 함께 적용된 Oil In Water(O/W) 부형제는 항원의 안정적 노출과 강력한 면역 형성의 기반이 된다.
결국 변이주 시대 PCV2 통제의 성패는 면역의 양적 수치가 아닌 ‘질적인 완성도’에 달려 있다. 홀바이러스 항원과 정교한 부형제의 조합은 농장의 면역 수준을 한 단계 끌어올리는 전략적 선택이 될 것이다.
5. 현장에서의 핵심은 후보돈과 전 산차 면역 균일화다
PCV2 모돈 면역 전략의 최우선 순위는 단연 후보돈이다. 후보돈은 농장의 번식 성적과 자돈 면역의 기초를 다질 핵심 자원이지만, 기존 모돈군에 비해 농장 내 병원체에 대한 면역 노출이 부족할 수밖에 없다. 특히 외부 도입 후보돈의 경우 이러한 면역 격차는 더욱 심화된다.
따라서 교배 전 충분한 시간을 두고 써코 백신을 2회 접종을 실시하는 ‘후보돈 순치 프로그램’이 필수적이다. 여기서 관건은 단순한 접종 여부가 아니라, 교배 전 면역이 완성될 수 있는 ‘충분한 시간’의 확보다. 순치 기간 내 면역 형성이 불충분한 상태에서 교배 후 감염에 노출된다면 백신 본연의 효과를 기대하기 어렵기 때문이다.
두 번째 핵심은 전 산차 모돈군의 면역 균일화(Homogenization)다. 특정 산차에 국한된 접종이나 사후 대응 방식으로는 농장 전체의 면역 기반을 안정화할 수 없다. 산차 간 면역 수준의 편차는 결국 초유를 통해 자돈에게 이행되는 수동면역의 불균형으로 이어지며, 이는 농장 내 감염 고리를 끊지 못하는 원인이 된다.
결국 PCV2 관리의 본질은 후보돈에서 시작해 전 산차 모돈군으로 완성되는 정교한 면역 설계에 있다. 모돈군이 안정되어야 초유의 질이 보장되고, 비로소 자돈의 초기 방어 기반도 공고해질 수 있다.
6. 미래를 위한 가장 확실한 면역 보험
PCV2는 끊임없는 유전적 변이를 거치며 현장에 적응해 왔다. 최근 우점형으로 자리 잡은 PCV2d 역시 진화의 한 과정일 뿐이며, 수많은 전문가들이 경고했듯 향후 세포 결합력과 증식 특성이 변모된 새로운 변이주의 등장은 늘 반복되고 예견된 사건들이다.
이러한 불확실성의 시대에 필요한 대응은 특정 유전형을 뒤쫓는 지엽적인 처방이 아니다. 보다 근본적으로 농장 내 광범위하고 견고한 면역 기반을 구축하는 것이 핵심이다. 홀바이러스(Whole-virus) 백신 써코백은 바이러스의 다각적인 항원 정보를 면역계에 각인시킨다는 점에서, 변이주가 상존하는 환경 속 모돈 면역 전략의 가장 유효한 선택지가 된다.
실제로 모돈군의 면역 안정화는 번식 구간의 PCV2 리스크를 제어하는 동시에, 초유를 통해 자돈에게 균일한 수동면역을 대물림하는 결정적 계기가 된다. 현장 데이터가 증명하는 번식 성적 개선과 경제적 효익은, PCV2 관리가 단순한 방역을 넘어 농장 경영의 질적 성장을 견인하는 필수 동력임을 시사한다.
결국 써코백(CIRCOVAC)을 필두로 한 모·자돈 통합 면역 전략은 변이주 시대의 파고를 넘는 농장의 기초 체력이자, 번식 성적과 자돈의 초기 성장을 동시에 거머쥘 수 있는 가장 현실적이고도 확실한 해법이 될 것이다.
참고문헌
- Nauwynck, PIG333 2025
- Bianco et al., 2015
- Oliver-Ferrando et al., 2018
- Kurmann et al., 2011
- Fraile et al., 2012
세바코리아에서 유럽 ASF 차단방역 전략 영상과 가이드북(PDF)을 무료로 공유합니다.
세바코리아 카카오톡 채널을 통해 간편하게 요청해 주세요.
※ 위 기고 내용과 관련하여 궁금하신 사항은 세바코리아 (02-2203-9488 / 카카오톡채널: 세바코리아(바로 가기) / ceva.korea@ceva.com)로 문의주시기 바랍니다.











































